Drug resistance in tuberculosis is an exponential problem all around the world. Spondylodiscitis and osteomyelitis are other challenges for specialists to overcome. When the problem occurs due to multidrug-resistant tuberculosis (MDR), it appreciable grows.
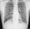
A 21-year-old man presented with sloping cervical mass. He was diagnosed with lymphadenitis caused by tuberculosis and taking antituberculosis drugs for 5 months. He received isoniazid, rifampin, ethambutol, and morfosinamide for 2 months and then continue with isoniazid and rifampin. At the end of second month the leakage stopped, but one month later, leakage from the lymphadenitis reoccurred. He had night sweats, and weight loss that never decreased with antibiotherapy. He presented with serious back pain since last year. He had no history of lung tuberculosis, but his family members presented with tuberculosis. His father had lung tuberculosis whereas his mother and sister had tuberculosis lymphadenitis. All of them received standard antituberculosis therapy and their therapy was successfully completed. In our patient computerized tomography (CT) scanning of thorax demonstrated a Pott abscess formation, nearly 15cm length between thoracic vertebrae 5 and 11, which may be easily misdiagnosed as an aortic aneurism with the imagination on chest X-ray (Figs. 1 and 2). Microbiological sample was taken with CT-guided biopsy. Only one acid fast bacilli (AFB) was seen with AFB stain. Mycobacterium tuberculosis yielded at Lowenstein–Jensen culture medium. This bacilli was found resistant to all primary antituberculosis therapeutic agents that he was taking. His therapy was stopped and amikacin 1g/day+ethionamide 1000mg/day+cycloserine 1000mg/day+ofloxacin 400mg/day+prazinamide 2500mg/day was given.
Drug resistance must be thought in patients who do not improve with standard antituberculosis therapy. According to our knowledge this was the first case of vertebral osteomyelitis caused by MDR tuberculosis in Turkey.
Conflict of interestThe authors have no conflict of interest to declare.





